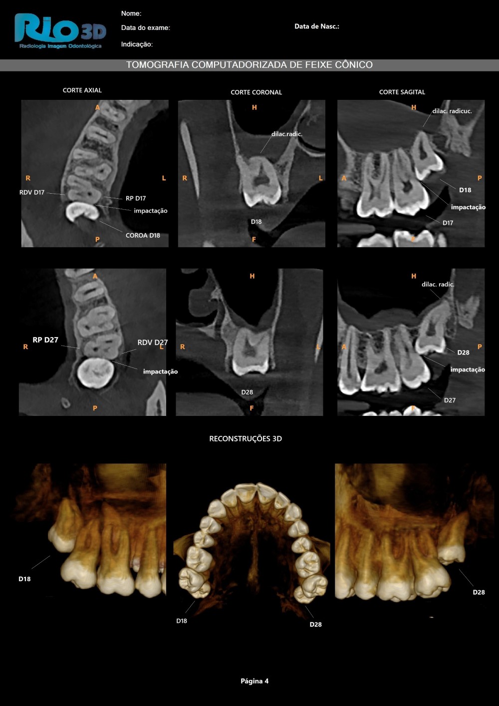
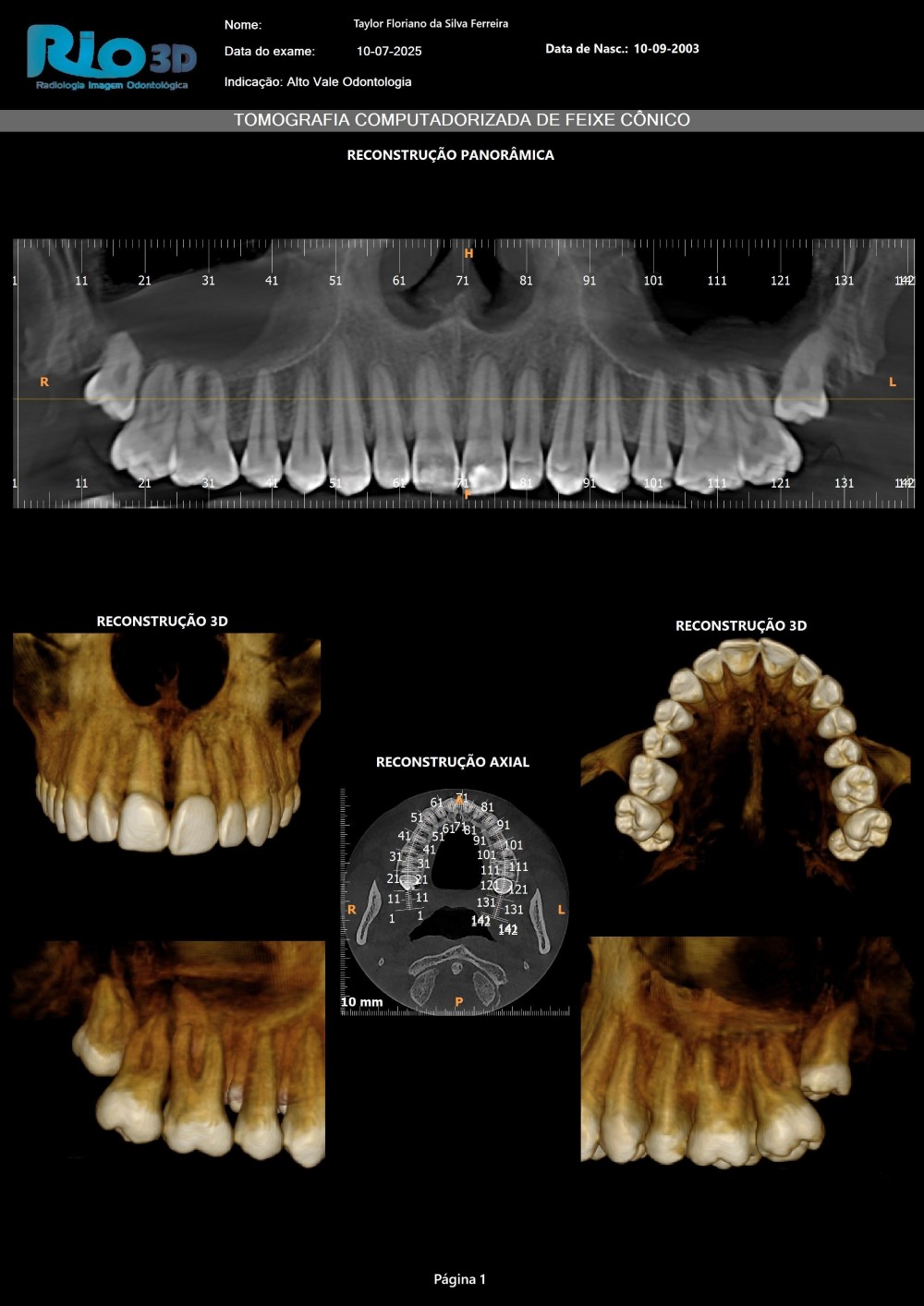
É um método eficaz de imagem diagnóstica volumétrica que produz imagens de resolução precisa e submilimétrica de qualidade diagnóstica em formatos que permitem a visualização volumétrica das estruturas ósseas da região maxilofacial.
Tem como pontos fortes o fato de não ser invasivo, ser rápido, fidedigno, de custo baixo comparada as tomografias médicas e de alta precisão diagnóstica considerada método de escolha para imagem de estruturas ósseas.
