Panorâmica Topo;
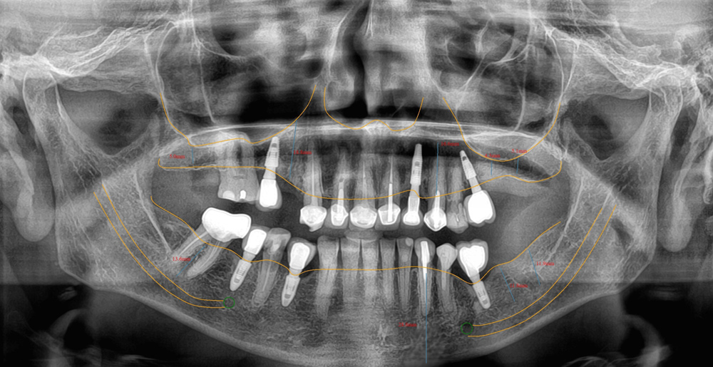
Panorâmica com traçado para implante;
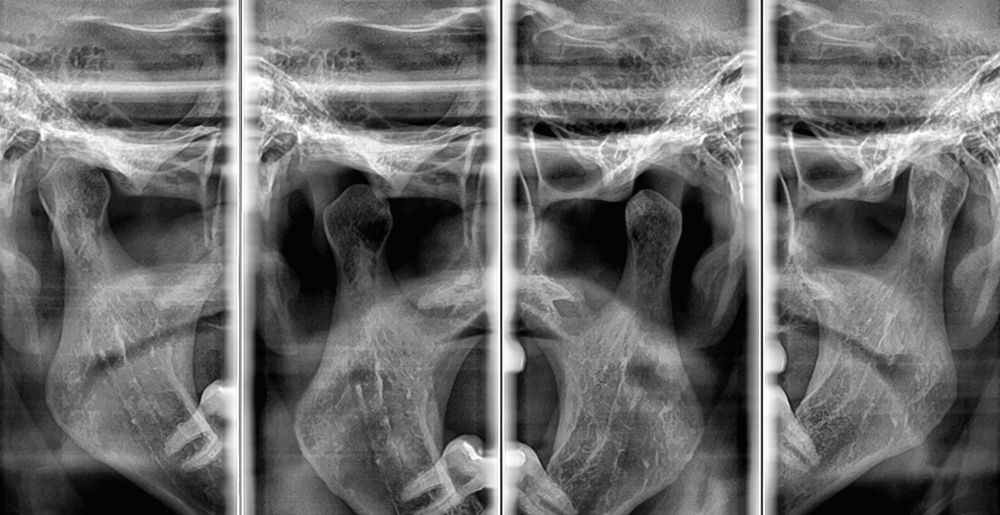
Panorâmica especial para ATM;
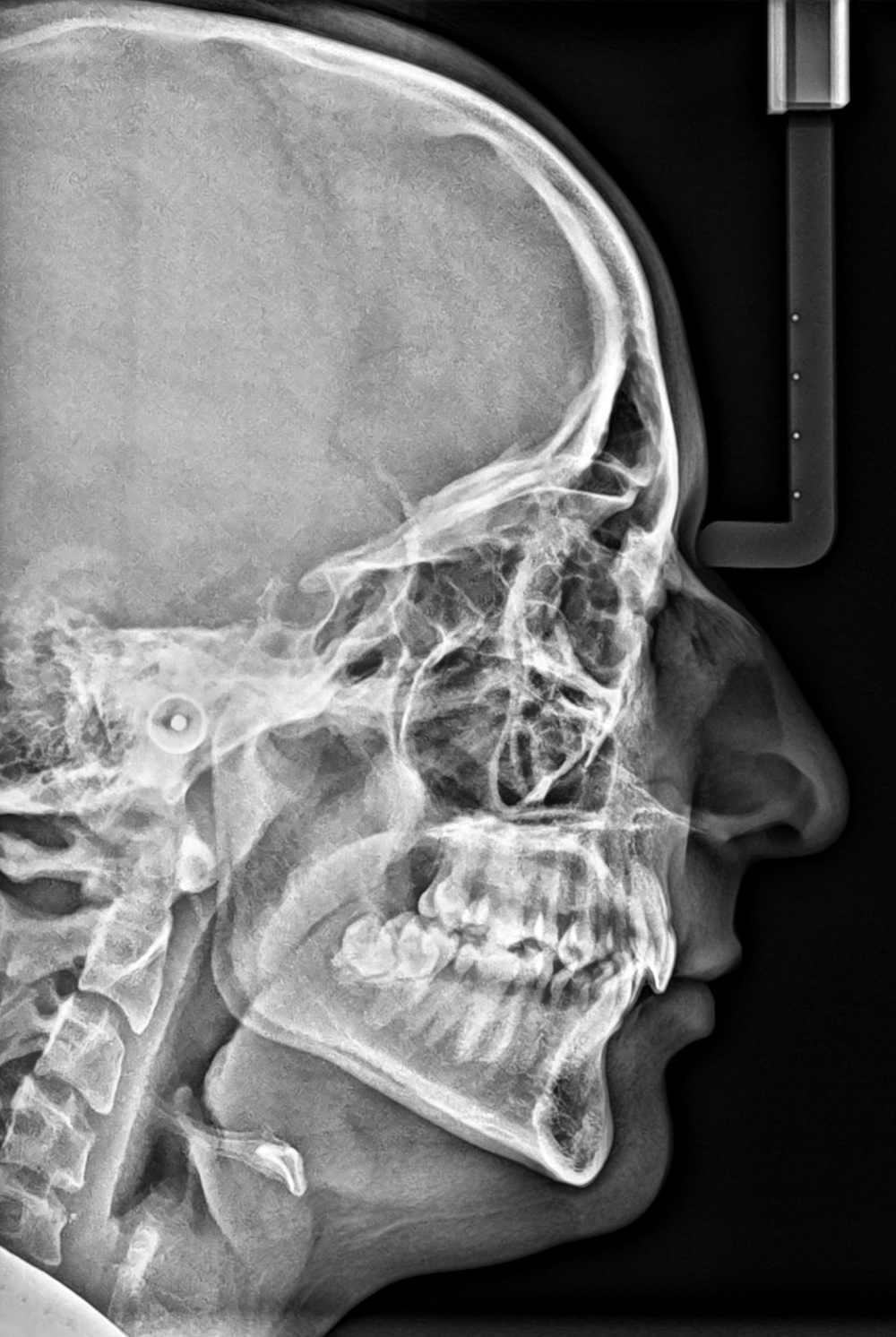
Telerradiografia de perfil;
